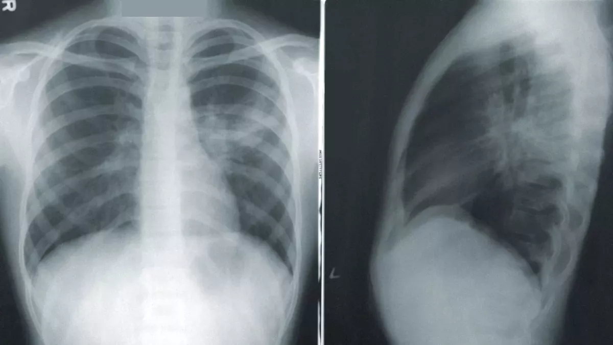
Maya Lou Maya Lou tackles a whole array of subjects from current events to lifestyle, entertainment, health, sex, and relationships. During her free time, Maya enjoys being outdoors and listening to music. Ses derniers articles : Well-Being, Relationships & Sex ‘Sexercise’: These sex positions will give you the best workout News COVID: X-rays reveal 'shocking difference' in lungs of vaccinated and unvaccinated patients Well-Being, Relationships & Sex Sexual health: Can you catch an STI from a public toilet? News COVID: Here’s what you should do if you’ve been exposed to the virus Entertainment, Royal Family Prince Andrew is being made invisible by the royal family Entertainment, Royal Family Queen's new video reveals how the palace celebrated Martin Luther King Day Entertainment, Royal Family Prince Charles' favourite hobby earns him a lot of money Entertainment, Royal Family Queen's Platinum Jubilee: Will Prince Andrew and Prince Harry receive a medal? Well-Being, Relationships & Sex This COVID side effect has been making children fussy eaters Entertainment, Royal Family Princess Eugenie makes big move following her father’s sex abuse disaster News Aldi's new checkout-free store is finally open to the public Well-Being, Health Butt hygiene: This is why you should switch to a bidet 8 9 10 11 12 13 14 15 16